Rak nerki stanowi 3% ogółu zachorowań na nowotwory złośliwe. W 2017 roku w Polsce zdiagnozowano 3144 zachorowań u mężczyzn i około 2088 u kobiet, co daje mu 8. pozycję pod względem ilości zachorowań na nowotwory złośliwe u mężczyzn i 10. pozycję u kobiet (wg danych z 2017 roku). Ilość zgonów z powodu raka nerki w 2017 wynosiła 2464 przypadki, 1525 wśród mężczyzn i 939 wśród kobiet. Rak nerki częściej występuje u mężczyzn niż u kobiet. Główne ryzyko dotyczy mężczyzn po 45. roku życia, a w przypadku kobiet przypada między 55. a 74. rokiem życia. W ostatnich latach opisywane są przypadki zachorowań w młodym wieku (dane: Onkonet.pl, https://www.onkonet.pl/dl_nump_raknerki.php, dostęp: 20.10.21).
Przerzuty do kości raka jasnokomórkowego nerki mają miejsce w 20–35% przypadków. W przypadku choroby przerzutowej mediana przeżywalności pacjenta wynosi ok. 8 miesięcy, przy 50% śmiertelności w ciągu pierwszego roku życia, natomiast pięcioletnie przeżycie wynosi 10%. Osteolityczne przerzuty do kości prowadzą do złamań patologicznych, które wymagają interwencji chirurgicznej. Izolowany przerzut do kości powinien być traktowany tak samo, jak byłby to guz pierwotny. Przerzut w takim przypadku musi być w sposób radykalny usunięty. Takie postępowanie ma zapewnić długoterminową odpowiedź na zastosowane leczenie.
Przerzuty raka jasnokomórkowego do kości są wyjątkowo obficie unaczynione, podobnie jak pierwotny nowotwór w nerce. Brak wiedzy na ten temat w przeszłości doprowadzał do śmiertelnych zejść pacjentów podczas leczenia operacyjnego. Przed dokonaniem resekcji guza konieczne jest zaplanowanie embolizacji naczynia zaopatrującego w krew przerzut. Przedoperacyjna embolizacja może przyczynić się do zmniejszenia zarówno bólu i utraty krwi podczas operacji i konieczności transfuzji, jak i ryzyka wystąpienia wstrząsu hipowolemicznego, zgonu.
Powyżej opisane fakty są ogólnie znane i szeroko stosowane w ośrodkach podejmujących się leczenia pacjentów onkoortopedycznych. Narzędziem wzbogacającym arsenał środków w wykonywaniu procedur
leczniczych o wysokim stopniu trudności są coraz szerzej wprowadzane nowe technologie wizualizacji śródoperacyjnej, czyli okulary mieszanej rzeczywistości (MR – Mixed Reality). Warszawska Klinika Ortopedyczna jest miejscem, w którym inicjowanych jest wiele nowoczesnych rozwiązań. Na szeroką skalę rozpoczęto tam stosowanie implantów typu custom made w operacjach rewizyjnych stawu biodrowego, przy znacznych ubytkach fragmentu miednicy.
Kolejnym etapem było wdrożenie „implantów szytych na miarę” w operacjach pierwotnych endoprotezoplastyki biodra i kolana. W 2019 roku pierwszy raz zastosowaliśmy okulary mieszanej rzeczywistości podczas operacji implantacji protezy custom made podczas zabiegu rewizyjnego stawu biodrowego. Była to pierwsza tego typu operacja na świecie.
Jej autorzy, Paweł Łęgosz i Paweł Małdyk, zostali wyróżnieni nagrodą „Złoty Skalpel 2019”.
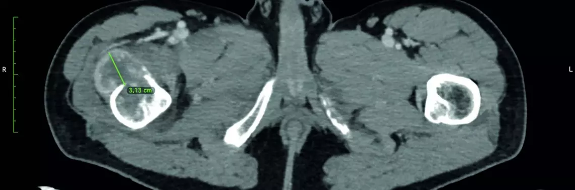
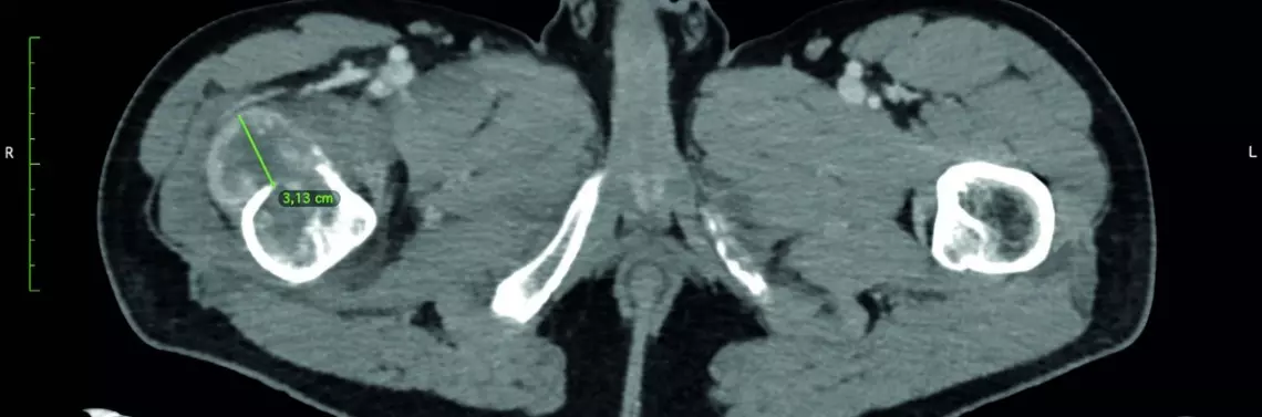
Kolejna operacja w użyciem okularów mieszanej rzeczywistości została wykonana u niespełna 40-letniego pacjenta w przebiegu leczenia raka jasnokomórkowego nerki, u którego doszło do złamania patologicznego bliższego końca kości udowej (ryc. 1).

Podczas przygotowania chorego do resekcji przerzutu i implantacji endoprotezy poresekcyjnej u pacjenta wykonano zabieg embolizacji (ryc. 2A i 2B).


W trakcie oczekiwania na „wysuszenie” guza po emboizacji, zespół MedApp kończył przygotowania związane z zastosowaniem okularów MR do operacji. Przed planowaną procedurą został wykonany skan TK, który obrazował miejsce położenia nowotworu. Dane miały rozmiar 512 × 512 × 738, o wielkości woksela równej 0,976 × 0,976 × 1,5 mm. Zostały wczytane w oprogramowaniu CarnaLife Holo, który jest systemem do wizualizacji obrazowych danych medycznych, pochodzących m.in. z tomografii komputerowej czy też rezonansu magnetycznego, opracowanym przez firmę MedApp S.A. System został wykorzystany zarówno na etapie planowania zabiegu, jak i śródoperacyjnie. W systemie wykonano specjalistyczną trójwymiarową wizualizację wolumetryczną w przestrzeni mieszanej rzeczywistości, dzięki specjalnym przeziernym goglom, zapewniającym w pełni trójwymiarowe obrazy z zachowaniem poczucia głębi. Mieszana rzeczywistość umożliwia jednoczesną wizualizację obrazowych danych medycznych, a w szczególności objętości nowotworu oraz struktur anatomicznych, przy zachowaniu widoczności środowiska rzeczywistego, jak np. sala operacyjna czy pacjent. Ponadto hologram ma charakter interaktywny, dzięki czemu możliwe jest sterylne dostosowanie wyświetlanych danych do potrzeb śródzabiegowych. Jest to realizowane poprzez komendy głosowe, gesty wykonywane w powietrzu, a także interaktywne wirtualne menu. Parametry wizualizacji zostały dobrane przez specjalistów inżynierii biomedycznej w taki sposób, aby umożliwić jednoznaczne odzwierciedlenie struktur, takich jak kość, nowotwór czy też naczynia krwionośne m.in. zasilające nowotwór. W tym celu zostały dobrane odpowiednie funkcje transferu (specjalne mapowanie jednostek Hounsfielda na zestaw kolorów odpowiadających realnym strukturom). W ramach przygotowań usunięto również elementy nieistotne z punktu widzenia realizowanej procedury.
Przykładowa wizualizacja została przedstawiona na rycinie 3. W ramach przygotowań możliwe było również wymiarowanie struktur, takich jak nowotwór czy też naczynia, przy pomocy narzędzia pomiarowego. Istotną zaletą systemu jest możliwość przygotowania trójwymiarowych wizualizacji danych obrazowych, które są również dostępne podczas samej operacji. Można to porównać do druku 3D w czasie rzeczywistym z szeregiem dodatkowych możliwości. Interakcja z hologramem jest możliwa również w trybie „wejście w głąb” hologramu, poprzez delikatne ruchy głową, a także powiększanie istotnych obszarów w celu drobiazgowej analizy podczas kolejnych etapów operacji, co w ostateczności przekłada się na większe bezpieczeństwo pacjenta.



Operacja przebiegła zgodnie z planem, obejmującym współpracę wielozakładową i wieloośrodkową. Wykorzystanie okularów MR umożliwiło wizualizację rzeczywistą guza, rozległość patologicznego unaczynienia przed embolizacją, a także ocenę zaplanowanej przez zabiegiem resekcji kości udowej (ryc. 5A, 5B, 5C).



Podsumowując, korzyści płynące ze stosowania okularów MR w operacjach z zakresu onkoortopedii opierają się przede wszystkim na:
- realistycznym planowaniu wykonania operacji w uwzględnieniem wielkości guza, jego sąsiedztwa, zaplanowania jego resekcji oraz resekcji kości;
- realistyczne planowanie skraca przebieg zabiegu, chirurg nie wykonuje niepotrzebnych czynności, „nie błądzi” w polu operacyjnym;
- skrócenie czasu operacji przyczynia się do zmniejszenia utraty krwi, redukuje tym samym zapotrzebowanie pacjenta na transfuzję, co w przypadku chorych onkologicznych powoduje dodatkową, niepotrzebną immunizację;
- skrócenie czasu operacji zmniejsza ryzyko infekcji, co szczególnie ma znaczenie w przypadkach zastosowania rozbudowanych implantów. Wystąpienie infekcji okołoprotezowej u chorych leczonych z powodu guzów kości obniża znacznie ich komfort życia i może skrócić czas remisji;
- korzystanie z okularów MR jest intuicyjne i łatwe. Nauka ich użytkowania nie wymaga długiej krzywej nauczania.
Nowe technologie, takie jak implanty „szyte na miarę”, zastosowanie okularów MR, oraz poszerzanie obszarów wykorzystania robotyki medycznej otwierają nowy rozdział w chirurgii ortopedycznej.