Autor: Andrzej Skalski

Department of Measurement and Electronics, AGH University of Science and Technology, Al. Mickiewicza 30, 30-059 Kraków, Poland; MedApp S.A., al. Płk. Beliny-Prażmowskiego 60, Kraków, Poland

Działy
Wyczyść
Brak elementów
Wydanie
Wyczyść
Brak elementów
Rodzaj treści
Wyczyść
Brak elementów
Sortowanie

Nowe technologie w Ortopedii: zastosowanie okularów mieszanej rzeczywistości (MR) podczas operacji resekcji przerzutu raka jasnokomórkowego nerki do kości udowej

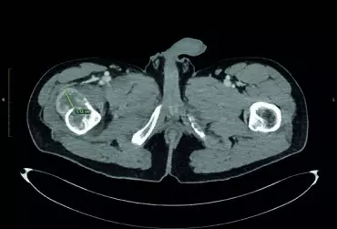
Przerzuty raka jasnokomórkowego nerki do kości ze złamaniem patologicznym stanowią poważny problem leczniczy. Pojedyncze ogniska należy traktować jak guz pierwotny i resekować w całości. Przerzut raka jasnokomórkowego nerki cechuje się patologicznym unaczynieniem, które wymaga przedoperacyjnej embolizacji. Zastosowanie okularów MR umożliwia realistyczne planowanie operacji, ułatwia resekcję guza, resekcję kości i wpływa na zmniejszenie czasu operacji, utratę krwi i zmniejszenie ryzyka infekcji.

Czytaj więcej